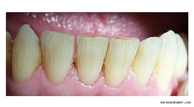
Sabahları çenenizde ağrı ile mi uyanıyorsunuz? Geceleri dişlerinizi sıkmaktan yoruldunuz mu? Öyleyse hiç vakit kaybetmeden diş hekiminize gitmenizde fayda var.Diş sıkma hastalığı olarak bilinen bruksizm, tedavisi mümkün bir hastalıktır. Bruksizm, genellikle uyku sırasında çene hareketlerinin normalden daha kuvvetli seyretmesiyle gelişiyor. Kuvvetli çene hareketleri ile dış gıcırdatmanın bruksizm hastalığına yol açtığını ifade eden Ağız, Diş ve Çene Cerrahisi Uzmanı Dr. Nihat Tanfer, hastalığın teşhisi ve tedavisi hakkında ayrıntılı bilgi verdi…KULAK ÇINLAMASI VE ÇENEDE KAYMA GÖRÜLÜR“Bruksizm, hastalığının gelişimi hakkında çeşitli görüşler olsa da hastalığın en önemli nedeninin stres olduğuna dair bir görüş birliği var. Öyle ki stres, bruksizmin ortaya çıkışındaki önemli bir neden olmakla kalmayıp, hastalığın şiddetini de artırıyor. Bir yakınınız sizi, uyku sırasında kuvvetli bir şekilde dişlerinizi sıktığınıza dair uyardıysa, bruksizm hastası olduğunuzu söyleyebiliriz. Kulak, baş ve çene ağrıları, ağzınızı açtığınızda çene ekleminden ses gelmesi, kulak çınlaması, çenede kayma ve ağız açmada zorlanma bruksizm hastalığının başlıca belirtileridir. Bu tablo uzun süre herhangi klinik belirti vermeden devam ederek hastalığın zamanla akut hale gelmesine yol açıyor.”DİŞLERDEKİ MİNE DOKUSU İNCELİYOR!Ağız, Diş ve Çene Cerrahisi Uzmanı Dr. Nihat Tanfer, “Bruksizm, tedavisi mümkün olan hastalıklar arasında yer alıyor. Hastalığın tedavisinde dişler ve çene ekleminde oluşabilecek kalıcı hasarları önlemek ve hastanın ağrı şikayetlerini gidermek amaçlanıyor. Tedavide kilit noktayı ise hastalığın sorumlusu olan stresin ortadan kaldırılması oluşturuyor. Dişlerin koruma altına alınması ise tedaviyi destekleyici bir rol oynuyor. Hastalık çekilmez düzeye ulaştığında hastalar hekime başvuruyor. Başvuran hastalarda yapılan muayenede kuvvetli sıkmaya bağlı aşınmayla ortaya çıkan diş boyu kısalığı ve diş yüzeylerinde ince hatlı çatlaklar görülüyor. Hastalarda sıcak-soğuk hassasiyeti, dişlerdeki mine dokusunun incelmesi nedeniyle anormal bir hal almış oluyor. Herhangi bir travma olmadığı halde diş mine kırıkları ve geçmişte yapılmış restorasyonlarda kırılmalar da görülüyor” diyerek diş hekimine daha erken gidilmesi gerektiğinin önemini vurguladı.TEDAVİDE AMAÇ UYKU SIRASINDA DİŞLER ARASINDAKİ TEMASI ÖNLEMEK“Hastaların uyku sırasında dişlerini kuvvetli bir şekilde gıcırdatmalarına bağlı olarak gelişen kalıcı diş ve çene eklemi hasarlarını önlemek için ‘gece koruyucuları’ kullanılıyor. Bu koruyucular uyku sırasında dişler arasındaki teması önleyerek, diş gıcırdatması olarak bilinen Bruksizm hastalığının tedavisinde en önemli rolü oynuyor. Bazı vakalarda bu koruyucular, tek araç olarak yeterli olmayabiliyor. Böyle durumlarda gece koruyucularına ek olarak stres terapisi, rahat bir uyku sağlayacak tedbirler, eksik dişlerin yerini protez dişlerle doldurma, kas gevşetici ilaçlar, sorunlu diş dolgusu ve kaplamaların baştan yapılması gibi tedaviyi destekleyen uygulamalara da başvuruluyor.”
Sağlık
Yayınlanma: 05 Eylül 2018 - 12:16
Tedavi edilmezse diş yüzeyinde çatlaklar oluşuyor!
Sabahları çenenizde ağrı ile mi uyanıyorsunuz? Geceleri dişlerinizi sıkmaktan yoruldunuz mu? Öyleyse hiç vakit kaybetmeden diş hekiminize gitmenizde fayda var.
Sağlık
05 Eylül 2018 - 12:16















